Coalizão Tarsal
1. O que é Coalizão Tarsal ?
Coalizão é sinônimo de fusão, união, conexão. Tarsal refere-se aos ossos que compõem o tarso, que é a porção formada pelo mediopé e retropé, isto é, a porção central e traseira do pé.
Os ossos que formam o tarso são: calcâneo, tálus, navicular, cubóide, cuneiforme medial, cuneiforme intermédio e cuneiforme lateral (ver figura).
Portanto, coalizão tarsal é a fusão parcial ou total de dois ossos do pé, formando uma barra óssea, cartilaginosa ou fibrosa entre eles. Pode ocorrer em um lado ou nos dois pés simultaneamente.

2. O que ocasiona a Coalizão Tarsal ?
As causas ainda não são bem conhecidas. A teoria mais aceita é uma alteração congênita da formação óssea, uma falha na segmentação e separação dos ossos durante o desenvolvimento do feto. Sua incidência na população geral é de aproximadamente 1 %.
Além disso, a coalizão tarsal pode estar associada a síndromes e doenças congênitas.
3. O que acontece quando existe a Coalizão Tarsal ?
A conseqüência é a perda do arco plantar e a formação de um pé plano (pé chato). Existe perda ou diminuição do movimento das articulações do mediopé e retropé, principalmente da articulação subtalar e a dor é mais intensa após a realização de esforços ou atividades esportivas.
Com o tempo, os tendões fibulares (tendões laterais) ficam encurtados pelo achatamento do arco plantar e pela posição em valgo (para dentro) do pé.
4. Quais os tipos de Coalizão Tarsal ?
Existem diversos tipos e formas de coalizão tarsal.
Os tipos mais comuns são dois: a talocalcaneana e calcâneonavicular.
Coalizão Talocalcaneana
A coalizão talocalcaneana é a fusão entre o calcâneo e o tálus.
Podemos encontrar a barra óssea na articulação posterior, média e anterior do calcâneo com o tálus; mas a faceta média é a mais acometida.
A dor e a rigidez tornam-se importantes por volta dos 12 anos de idade.

Coalizão Talocalcaneana
Coalizão Calcâneonavicular
A coalizão calcâneonavicular é a fusão entre o calcâneo e o navicular.
Normalmente ocorre na porção superior e frontal do calcâneo, chamada de processo anterior, com a borda medial e inferior do osso navicular.
Os sintomas iniciam por volta dos 8 anos de idade.

Coalizão Calcâneonavicular
5. Como é feito o diagnóstico de Coalizão Tarsal ?
No exame físico o paciente apresenta deformidade em pé plano, com rigidez articular e dor, principalmente depois de praticar algum esporte ou de ter realizado alguma atividade de esforço.
A queixa de dor inicia entre os 8 e 15 anos, quando a criança ou o adolescente começa a realizar atividade esportiva de maior impacto e coincide com a calcificação da conexão entre os dois ossos.
A dor é referida lateralmente ou medialmente, abaixo do tornozelo. Com o passar dos anos, a dor pode evoluir e tornar-se incômoda até para as atividades simples da vida diária.
Na barra talocalcaneana medial podemos visualizar e palpar uma formação óssea rígida na parte interna do pé, abaixo do tornozelo.
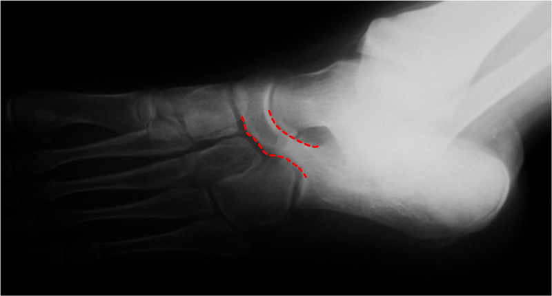
O diagnóstico radiológico é feito através de exames de raio X e tomografia computadorizada.

RX - Coalizão Calcâneonavicular
Na avaliação do exame de raio x, não é raro o médico passar despercebido pelo diagnóstico de coalizão tarsal, pois algumas são difíceis de serem visualizadas, principalmente as coalizões fibrosas e cartilaginosas.
A tomografia é o melhor exame para diagnosticar a coalizão tarsal. Ela permite um melhor entendimento do tamanho e da forma da fusão entre os ossos.

Coalizão Talocalcaneana (vermelho) - Normal (verde)
A ressonância magnética é útil para coalizões ainda não calcificadas, crianças menores de 10 anos ou coalizões fibrosas ou cartilaginosas discretas.
6. Como é o tratamento da Coalizão Tarsal ?
Tratamento Conservador :
Indica-se o tratamento conservador para amenizar a dor e postergar o tratamento cirúrgico.
O tratamento inicial consiste em diminuir a atividade física, no uso de órtese imobilizadora por 4 a 6 semanas e medição antiinflamatória e analgésica.
Pode-se utilizar a palmilha para suporte e estabilização do retropé na tentativa de aliviar a dor.
Tratamento Cirúrgico :
As coalizões sintomáticas, sobretudo a calcâneonavicular e talocalcaneana, têm indicação de tratamento cirúrgico.
O princípio do tratamento cirúrgico é desfazer a barra óssea ou qualquer outro tipo de fusão, liberando o movimento articular. O cirurgião deve tomar alguns cuidados para evitar que a coalizão se refaça, interpondo tecido mole (músculo ou gordura) dentro do espaço formado pela retirada óssea.
Na coalizão calcâneonavicular a incisão é feita lateralmente, um pouco abaixo do tornozelo, e a ressecção é feita em forma de retângulo, com interposição de uma porção muscular local do pé.

Na coalizão talocalcaneana a incisão é realizada medialmente, abaixo do tornozelo, e a ressecção é feita em camadas até a completa liberação. Também é necessário interpor partes moles para evitar a recidiva.

Nos casos mais tardios, com degeneração articular avançada, rigidez e artrose das articulações envolvidas, o tratamento cirúrgico indicado é a artrodese, isto é, a fusão completa da articulação para eliminar o movimento residual e a dor.
7. Quais os cuidados após a cirurgia ?
Após a cirurgia o paciente não necessita usar nenhum aparelho gessado ou qualquer outro tipo de imobilização, mas requer o uso de muletas para não apoiar o pé operado.
O curativo é trocado semanalmente até a retirada dos pontos no final da segunda semana.
Exercícios são estimulados precocemente. A fisioterapia é indicada a partir da 3ª ou 4ª semana, com liberação progressiva do apoio durante a marcha.
O ganho de movimento do retropé após a cirurgia é variado, considera-se bons resultados quando alcançado 50% do movimento normal, além disso, a forma plana do pé dificilmente se restabelece por completo.

Dr. Silvio Maffi
Especialista em Cirurgia do Pé e Tornozelo
